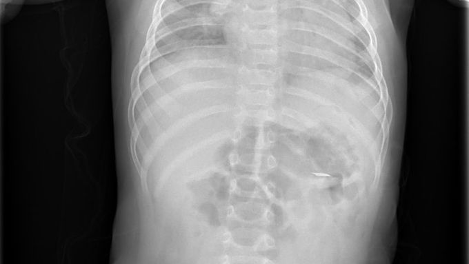
Zatímco dospělí vnímají produkty pro užívání zahřívaného tabáku jako moderní alternativu ke klasickému kouření, pro děti mohou představovat závažné zdravotní riziko. Pediatrická klinika 2. LF UK a FN Motol v uplynulém roce hospitalizovala deset dětí ve věku od osmi do patnácti měsíců, které pozřely ostrý kovový plíšek pocházející z těchto produktů.
"U tří malých pacientů jsme museli provést urgentní endoskopický zákrok, ve zbylých případech byly děti sledovány při hospitalizaci až do samovolného odchodu cizího tělesa. Kovový plíšek má ostré hrany a může poškodit trávicí trakt, v krajním případě by mohlo dojít i k perforaci," upozorňuje lékařka Kristýna Zárubová z Oddělení dětské gastroenterologie Pediatrické kliniky 2. LF UK a FN Motol.
Hrozí mechanické poškození i otrava
Zákroky probíhaly i ve spolupráci s Interní klinikou 2. LF UK a FN Motol. Díky rychlé lékařské intervenci se ve všech případech podařilo předejít nutnosti chirurgického výkonu. Produkty pro užívání zahřívaného tabáku fungují na principu zahřívání speciálních tabákových náplní. Na rozdíl od klasických cigaret při jejich používání nedochází ke spalování, ale k tvorbě aerosolu obsahujícího nikotin.
Součástí některých náplní nebo ohřívacích jednotek však mohou být drobné kovové prvky - zejména tenké kovové plíšky, které se při neopatrné manipulaci mohou uvolnit. Pokud se následně dostanou do rukou malých dětí, které často vkládají předměty do úst, vzniká vážné riziko poranění.
Riziko ovšem nespočívá pouze v mechanickém poškození trávicího traktu. "Tabáková náplň těchto produktů obsahuje nikotin, a tedy i potenciální nebezpečí intoxikace. I malé množství může být pro dítě toxické," doplňuje lékařka Barbora Obermannová, vedoucí Kojeneckého oddělení Pediatrické kliniky 2. LF UK a FN Motol.
Lékaři proto apelují na rodiče a další dospělé, aby produkty pro užívání zahřívaného tabáku uchovávali vždy mimo dosah dětí - stejně jako léky, čisticí prostředky nebo jiné potenciálně nebezpečné látky. Zdravotníci připomínají, že zvědavost kojenců a batolat v kombinaci s drobnými předměty může mít velmi vážné následky.













